안녕하세요, 요니맘입니다.평소와는 다른 조금 무거운 주제로 저의 실제 사례를 공유해보려고 하는데 그것은 구강암 이야기입니다.

저는 구강암 환자가 아니라 구강암 증상과 비슷한 증상이 있는 사람입니다.혹시 저처럼 구강암 증상과 비슷한 증상이 있어서 걱정하고 찾아보시는 분들이 계실까봐 제 이야기를 공유하고 싶었어요 보통 40~50대 남성분들이 걸리기 쉽다고는 하지만 암이라는 건 예외가 없기 때문에 참고로 저는 20~30대 젊은 여성이에요!

(20대는 젊어보이고 싶어서 그냥 끼워넣기) 조금 기분 나빠지는 사진이 있을 수 있으니 비위가 약한 분들은 사진은 통과해주세요 우선 구강암 증상부터 간단히 말씀드리고 제 이야기를 공유해보겠습니다! [구강암 증상]

1.3주 이상 회복되지 않아 심해지는 구내궤양 2. 염증 양상이 없어지지 않고 울퉁불퉁한 표면의 희고 붉은 병변 또는 검게 변색된 흑색종 3. 입안 혹의 크기가 커지고 뺨이 두꺼워지는 경우 4. 정상이었던 치아가 갑자기 심하게 흔들리거나 빠지는 경우 5. 구강 내 보철물이나 씹은 상처가 시간이 지나도 낫지 않는 경우

저도 어렸을때부터 구내염이 자주 나고 피곤하면 한번에 3~4개씩 나와서 매우 고통을 잘 알고 있습니다.

일단 팁을 하나 알려드리면 구내염이 자주 발생하는 분들은 비타민C 영양제와 프로폴리스를 꼭 챙겨드셔야 합니다!제가 비타민C와 뿌리는 프로폴리스를 사용하고 나서 구내염은 거의 나오지 않거든요! 특히 개인적으로 프로폴리스 효과가 좋다고 생각했습니다.

자! 이제 본격적으로 제 이야기를 해볼까 합니다. 일단 구강암 증상 중 저의 해당 증상은

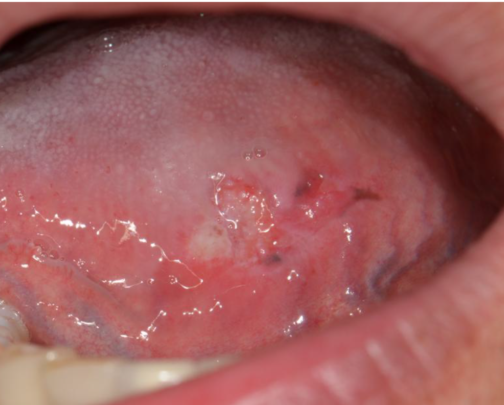
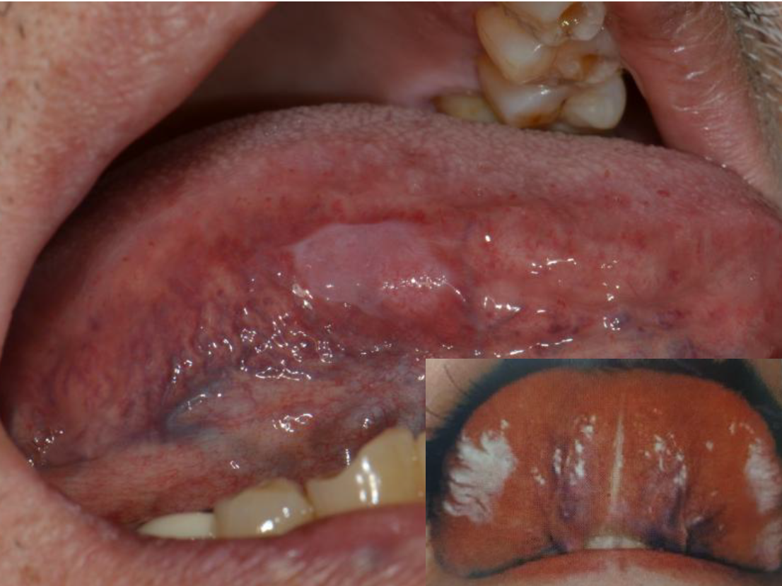
(실제 나의 뺨 점막 사진입니다)2. 염증의 양상이 없어지지 않고 뺨 점막 붉은 병변 및 아픈 통증 5. 교정 보철물 및 물고 온 상처가 시간이 지나도 없어지지 않을 경우 나는 2009년경에 치아 교정을 시작한 2011~2012년경 교정이 끝났어요 교정 치료를 하며 교정기 보철물로 뺨 점막이 더 많이 찔리고 긁히거나 하는 경우가 발생할 거요 정확하게 언제부터 적체증과 아픈 통증이 시작됐는지는 기억 나지 않지만 교정 치료가 끝난 후 시간이 지나고 식사를 하고 있고 오른쪽 뺨 점막 같은 곳을 강하게 몇번 씹은 기억은 있습니다. 붉은 병변과 아픈 통증을 내가 알고부터 5년 이내입니다 엄청 오래 된군요(?) 이렇게 하면 나도 구강 암 증상을 보면서 더욱 걱정이 되어 맞게 되었습니다 그래서 내가 2017년 동네 이비인후과 가장,2019년 동네 치과 방문 2020년 12월 직장 인근 여의도 치과 스케일링 겸 방문, 그리고 최근 2021년 2월 여의도 외의 치과 방문 등 4곳의 다른 병원에 가 봤어요 그 전에 붉은 병변과 아픈 통증은 계속되어 너무 걱정에서 최근 암 카페 현직 구강암 의사 분에 메모로 사진을 보내고 증세와 함께 들어 보았습니다 그 의사는 일반적인 염증의 양상과는 달리 보이기에 대학 병원의 조직 검사를 받도록 권하고 주신 당연히 그 의사는 직접 본 것이 없는 나의 증세와 사진상으로만 보던 거니까 정확한 진료를 받지 못하는 부분임을 참고하세요

아무튼 조직검사 얘기까지 들으니까 더 걱정이 몇 배나 돼서 다시 여의도에 유명한 치과를 예약하고 내원했는데 내원한 치과의사 원장님도 그 전에 내원했던 이비인후과 치과에서도 직접 만져보고 자세히 보시고 의사분들 비슷한 얘기를 해주셨어요 뭔가 세게 씹어서 생긴 상피표면의 상처 같다 그리고 치아교합이 문제되는 부분인 것 같다 결과는 시간이 오래됐지만 일단 씹어서 생긴 상처 같기 때문에 연고 및 치과처방 가글 항생제를 처방해서 치료해보시고 그래도 뭔가 문제가 된다면 그때 또 조직검사를 해보셔도 좋을 것 같아요.였습니다. 제가 교합 및 자세에 따라 무언가를 씹을 때 혀와 뺨의 교합 부분이 계속 볼 점막 쪽을 씹기도 한다고 합니다.

그리고 저는 한번도 정식 치료를 받은 적이 없기 때문에 의사의 처방대로 치료를 받아보고, 그래도 통증이 더 심해지거나 뭔가 걱정이 되면 미리 3월 초에 예약해둔 대학병원 치과 쪽을 내원해서 조직검사도 받을 예정입니다 만약 3월에 대학병원에서 조직검사를 받게 된다면 그 소감도 적어보겠습니다!혹시 저와 같은 구강암 증상과 비슷한 것이 많아서 걱정하시는 분들은 걱정하지 말라고 전하고 싶었습니다.저도 그 마음을 너무 잘 아니까 ㅠㅠ 그래도 증상이 조금이라도 있다면 우선 치과에 가서 꼭 진찰을 받아보시고 궁금하신 점 있으시면 댓글 남겨주세요!그럼.#구강암 #설암 #치암 #치은염 #설백반증 #베체트병 #배체트병 #백반증 #홍반증 #적반증 #볼점막 #볼안쪽#혀밑#구강염기#구강염기#입안에피집게#통증#잇몸염증#치경염기#치경암#칸디다증#구강암증상#구강암초기증상#암#구강암병원#대학병원#조직검사}구강암원인_흰물집게제비타민 PROTHORIS

